|
|
|
|
I sintomi sono inequivocabili: si avverte un forte prurito vaginale, la cui mucosa si arrossa e può presentare manifestazioni esantematiche (bolle) e c'è una copiosa produzione di perdite dalla caratteristica consistenza simile alla ricotta. La Candida, o Candidosi, è l'infezione vaginale che colpisce più frequentemente le donne ed è causata da un fungo che fa parte della flora batterica normalmente presente nella vagina, ma il cui proliferarsi degenera nella patologia che presenta sintomi inequivocabili. A provocare l'aumento della presenza di questo fungo, possono essere varie cause, come ad esempio l'assunzione di antibiotici che da un lato curano un'infezione causata da batteri cattivi ma dall'altro distruggono anche quelli buoni. Oppure – ed è un caso abbastanza frequente – quando si verifica un importante cambiamento ormonale, ad esempio durante il periodo della gravidanza. Altro motivo per cui la flora batterica vaginale può subire modificazioni, è lo stress che come si sa abbatte le difese immunitarie rendendo più indifese le mucose.
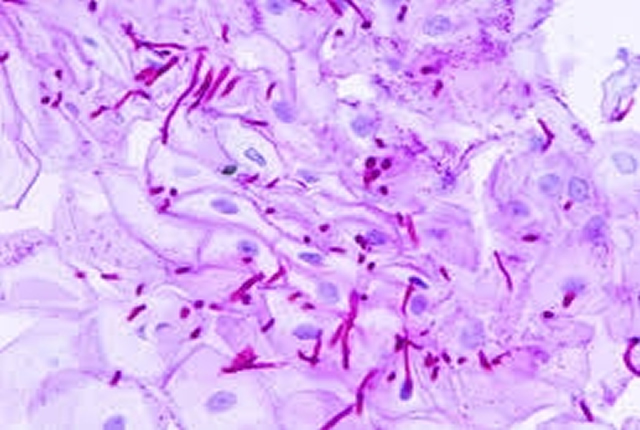
La Candida vista al microscopio Altro elemento da tener presente per evitare di contrarre la Candida è un'esagerata igiene intima. Ciò non significa che bisogna rinunciare all'igiene intima quotidiana – anzi! – ma che non bisogna esagerare con l'uso di saponi che se usati con troppa frequenza, privano i tessuti vaginali del film lipidico che ha il compito di proteggere le delicate mucose interne. L'uso della sola acqua è più che sufficiente.
I sintomi della Candida I sintomi sono inequivocabili: si avverte un forte prurito alla vagina, la cui mucosa si arrossa e può presentare manifestazioni esantematiche (bolle) e c'è una copiosa produzione di perdite dalla caratteristica consistenza simile alla ricotta. Questi sintomi sono talmente precisi e univoci, che solitamente non è necessario fare delle analisi cliniche per accertare la presenza dell'infezione. Solitamente la donna riporta al medico la sintomatologia e questo è sufficiente a permettere di assumere in breve tempo la terapia appropriata.
Candida in gravidanza: perché? L'aumento degli estrogeni che si verifica durante il periodo della gravidanza, ha il potere di modificare il PH (acidità) delle pareti vaginali, e questa condizione contribuisce a far aumentare batteri e funghi che compongono la naturale flora batterica. Molte donne, temono che la Candida che si presenta durante i nove mesi di gestazione, possa essere pericolosa per il feto. Fortunatamente, l'esperienza clinica conferma che nella quasi totalità dei casi un episodio di Candida durante la gestazione, non comporta rischi né per il nascituro e neppure per la mamma in attesa.
La Candida in gravidanza non è pericolosa ma è meglio curarla bene Ovviamente, è necessario correre subito ai ripari, da un lato perché la sintomatologia è effettivamente molto fastidiosa e anche perché, se l'episodio dovesse presentarsi a ridosso del termine della gravidanza, e la nascita si dovesse svolgere con parto naturale, durante il passaggio del feto nel cavo vaginale, potrebbe verificarsi un contagio che è meglio evitare. Come si cura la CandidaEssendo provocata da un fungo, la Candida va curata essenzialmente con antimicotici. Questi farmaci sono venduti in due diverse formulazioni: in Farmacia si trovano ovuli o creme che vanno inseriti o applicati all'interno della vagina. Le donne in gravidanza, devono però far valutare attentamente le migliori cure per risolvere questa fastidiosa infezione, dal momento che – anche se si tratta di prodotti per uso topico (che cioè si applicano localmente) l'assorbimento può essere trasferito al bambino. Cosa da evitare. Negli ultimi tempi però, si stanno diffondendo alcuni farmaci che contengono probiotici in grado di ristabilire l'equilibrio della flora batterica vaginale, che non presentano effetti collaterali. Una volta debellata l'infezione, sarà bene fare attenzione a non avere ricadute: evitare – se possibile - l'uso di antibiotici, lavarsi solo con acqua, non prendere l'abitudine di portare quotidianamente salvaslip o pannolini che creano quell'ambiente caldo-umido perfetto per la proliferazione di germi e funghi. |
|
Cosa ne pensi? |
|
|
Per commentare l'articolo occorre essere loggati e rispettare la netiquette del sito. Se sei registrato effettua il login dal box qui a sinistra. Se ancora non sei registrato fallo cliccando qui |
| I commenti: | |||
|
Commento
1)
|
|||
| Commento di: emilia.urso | Ip:83.73.103.204 | Voto: 7 | Data 14/12/2025 06:58:32 |
Sei
iscritto su Facebook, Twitter o G+?
Commenta e condividi l'articolo direttamente.
Cos'è uno Stato senza i cittadini? Nulla. Cosa sono i cittadini senza lo Stato? La risposta la conosciamo tutti, perchè lo Stato italiano palesemente, sta lasciando alla deriva la motivazione fondamentale della sua stessa esistenz

Domenica 17 maggio seguiamo la maratona su tutti i social @komenitalia e su www.komen.it/race-live a partire dalla mattina con l'anteprima "aspettando la Race" e dalle 15.00 per la RACE LIVE

Il rapporto sostiene che gli strati più alti delle organizzazioni criminali devono essere privati di potere, attraverso risposte e volontà politica.

Per facilitare la raccolta programmata di sangue sul territorio il Municipio Roma XIV Monte Mario e la ASL Roma 1...

È partita nel primo pomeriggio di ieri la Holding Area dell’Ospedale Santo Spirito della ASL Roma 1.